A senior woman’s X-ray showed the strange therapy she underwent many years ago for the most lethal illness on Earth.
The 86-year-old from Floridawent to see her physician with a burning sensation in her chest and upper abdomen, but she did not experience any difficulty in breathing or other respiratory problems.
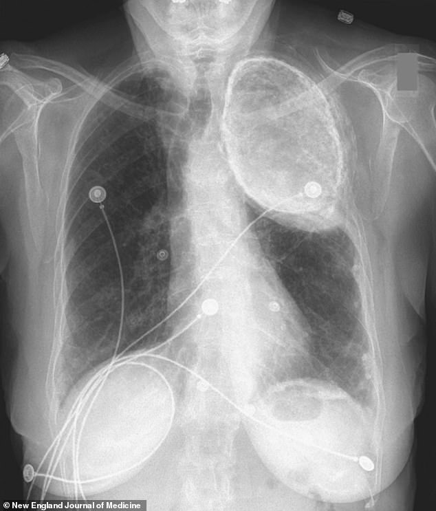
As she received treatment for acid reflux, a condition where stomach acid flows back into the esophagus, doctors also conducted a chest x-ray, revealing a football-shaped cloudy mass in the upper left lobe of her chest.
The woman informed physicians that during the 1950s, when she was in her early twenties, she became sick with tuberculosis (TB), a lung-related illness.called the most lethal illness on Earthbecause of resistance to specific antibiotics and wider transmission in developing countries that do not have access to modern antibiotics.
Although a rare danger in the US now, at the time the woman received treatment, tuberculosis claimed 20,000 American lives annually, and antibiotics for the disease were still in their early stages, forcing physicians to depend on untested therapies.
At that time, the woman had undergone an oleothorax, a previously used treatment where physicians would inject mineral oil into the region surrounding the lungs, known as the pleural space, in order to collapse a section of the lung.
Physicians commonly employed paraffin oil, sourced from petroleum, or vegetable oil to remove oxygen from Mycobacterium tuberculosis, the bacterium responsible for TB, and prevent dormant TB from becoming active again.
As modern antibiotics such as isoniazid and ethionamide became available in the 1950s for treating TB, oleothorax gradually lost popularity because of safety concerns including infection, breathing difficulties, and pneumonia.

In a video posted on Xthis week responding to theresurfaced case report, which was first released in 2017, Dr. Sam Ghali, an emergency medicine doctor at the University of Florida Health in Jacksonville who wasn’t part of the case, stated: ‘This is an extremely unusual chest X-ray that you don’t come across frequently.’
When you consider this in 2025, it seems completely absurd, but you need to picture what life was like back then when they had no other options.
Today, tuberculosis affects several thousand Americans annually and results in approximately 500 deaths, which is significantly lower compared to cancer, heart disease, and dementia. However, the risk is much higher in developing countries, where TB causes the death of 1.2 million people worldwide each year.
Tuberculosis in the United States showed a consistent decrease from 1993 up until 2020, reaching a record low of 7,170 cases overall. However, in 2021, this figure increased to 7,866.
The rate has increased annually since then.
Recent CDC statistics indicate that the United States reported 10,347 tuberculosis cases in 2024 — an eight percent increase compared to the previous year and the largest number since 2011, when 10,471 cases were documented.
Cases are increasing in 80 percent of U.S. states, according to experts who attribute this to underreported cases and a loss of trust in medical professionals caused by the COVID-19 pandemic.
The composition of TB cases has also changed, beginning in 2001. That year marked the first time the CDC recorded more patients who were not born in the US compared to those who were, indicating that immigrants and visitors became the main contributors to the spread of the disease.


Before the availability of antibiotics, individuals who underwent oleothorax treatment would usually have the oil removed once they had recovered from tuberculosis, although some patients, such as the woman described in the case study, retained it for many years.
Dr. Ghali stated, “The usual process was that you would return after a few years to have it taken out, but many patients, including the one we’re discussing, would disappear from follow-up since they never came back.”
Physicians during the late 1800s and early 1900s often advised patients to take in fresh air and get plenty of rest to ease their symptoms, usually within specialized facilities designed for tuberculosis sufferers.
In the early 1900s, Adirondack chairs were designed with broad armrests, high slatted backs, and elevated front seats for individuals in tuberculosis sanatoriums, as it was believed they could support patients’ chests and allow for better airflow, although they did not provide medical advantages.
Tuberculosis is transmitted via airborne particles that enter the air when an individual suffering from active TB coughs, sneezes, or talks.
In the initial phases, individuals may experience a continuous and inexplicable cough, which can occasionally lead to coughing up blood or cause chest discomfort. Additionally, patients might encounter unexplained weight reduction, decreased hunger, fever, and excessive sweating during the night.
In advanced stages, individuals might experience significant respiratory issues and widespread lung injury, with the infection potentially spreading to other organs or the spine, resulting in discomfort.
Most fatalities result from respiratory failure, which is typically caused by bacterial harm to the lungs.
Tuberculosis can be prevented using the Bacillus Calmette-Guerin (BCG) vaccine. However, because the risk is typically low, it is not commonly administered in the United States—except for children who frequently come into contact with individuals having active TB or healthcare professionals working in regions where the disease is more prevalent.
The individual mentioned in the case study experienced no issues related to the oleothorax or tuberculosis.
Dr. Ghali stated, “The human body is truly remarkable, having adapted and survived with this for approximately 60 or 70 years, and this was merely an unexpected discovery.”
It’s truly a strong indication of how challenging medicine is… you must do your best with the resources available to assist others, and it’s truly remarkable how much progress has been made in medicine over the past 75 years.
- Has the increase in tuberculosis cases in the United States indicated the resurgence of this fearsome ancient disease amid the challenges of the 21st century?
- Could tuberculosis regain its deadly influence in the United States, or is the public’s concern exaggerated?
- Why is tuberculosis making a comeback and causing severe harm even with modern medical treatments?
- Has tuberculosis become the world’s most fatal infectious disease, surpassing Covid-19 with 8.2 million cases reported in 2023?
- What caused a terrifying tuberculosis case at an Alabama high school to expose the fact that this severe respiratory illness is quietly spreading throughout the United States?






Leave a comment